SmilesHQ

Composite Bonding and Teeth Whitening

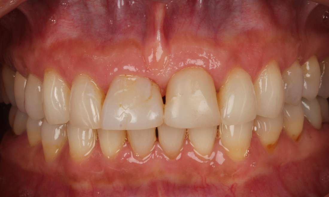
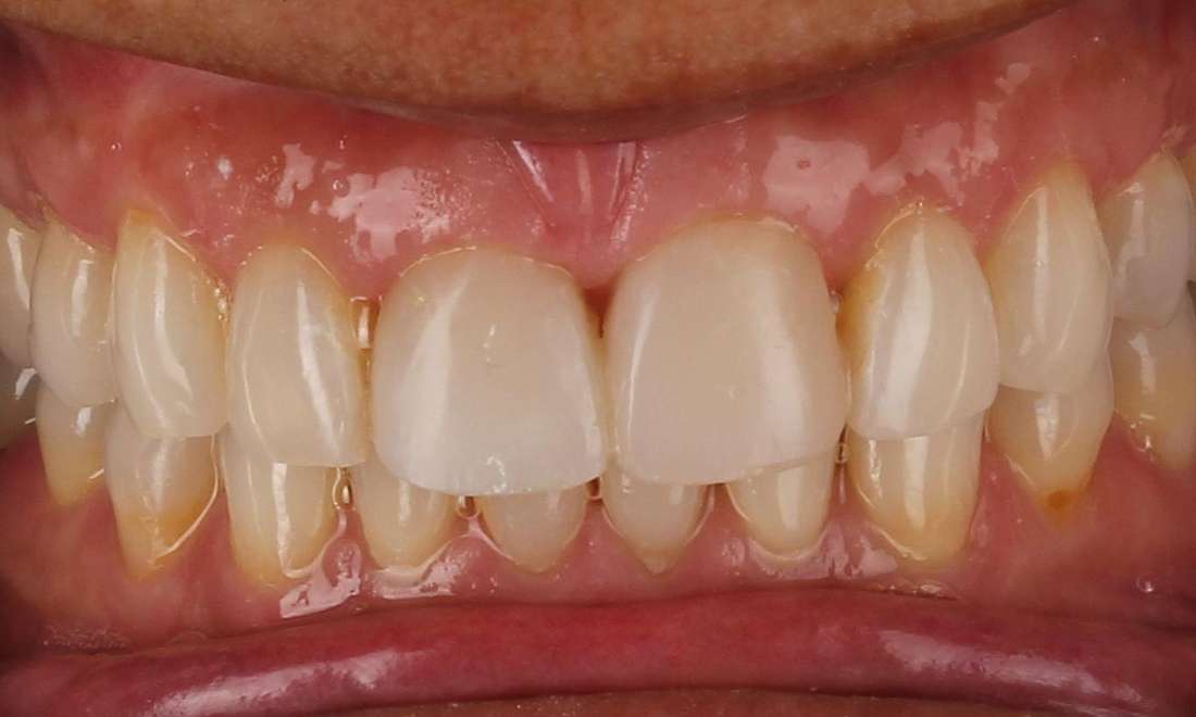
This patient had whitening done and once she was happy with the colour of her teeth, we were able to replace the composite bonding of her 2 front teeth to improve the “look” and shape of her teeth, giving her a more balance smile.

Book with Us and Get Ready for a Whole New Experience!
Disclaimer: All surgical or invasive procedures carry risks. Before proceeding, you should seek a second opinion from an appropriately qualified health practitioner. The information throughout this site is not intended to be taken as medical advice.
Any surgical or invasive procedure carries risks. Before proceeding, you should seek a second opinion from an appropriately qualified health practitioner.