Smile Gallery
Our expertise and experience allow us to create natural-looking, attractive smiles that can truly transform your life. Our team always strive to go above and beyond expectations, so you have a smile you cherish and are excited to share with the world.
We invite you to browse through our Smile Gallery to see real patients with real results.
*The images shown in our Smile Gallery are examples of dental treatments provided at our practice. Individual results will vary depending on each patient’s dental needs and circumstances.
*The images shown in our Smile Gallery are examples of dental treatments provided at our practice. Individual results will vary depending on each patient's dental needs and circumstances.
This patient completed whitening to brighten her smile, and then opted for composite resin veneers to further enhance the appearance of her teeth.
The veneers were carefully crafted to perfect the size, shape, and symmetry of the front teeth, giving her a more uniform and radiant smile. This combination of teeth whitening and composite veneers provided a natural-looking, long-lasting transformation, all in just a few visits.
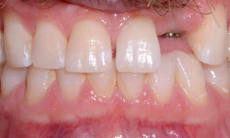
This patient had recently completed orthodontic treatment and was looking to perfect their smile with a few finishing touches. The goals were to brighten the overall smile, replace a missing tooth on the right-hand side, and enhance the symmetry on the left.
We started with home bleaching using custom retainers provided after orthodontic treatment. A missing tooth on the right was replaced with a ceramic-bonded bridge for a seamless look. On the left-hand side, we enhanced a naturally smaller tooth with a composite veneer to complete this beautiful, balanced smile.
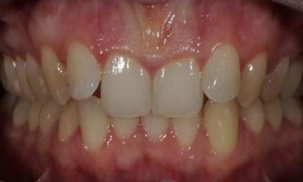
This patient was not happy with the shape of her teeth as well as the wear on her 2 front teeth.
They didn’t want complex treatment, we were able to achieve her desired outcome by doing in-chair whitening to improve the colour of her teeth and composite bonding on the 4 front teeth to improve the shape of the teeth.
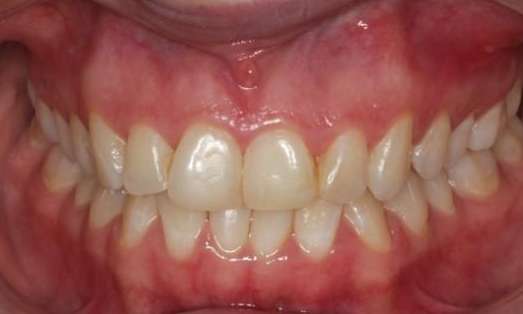
This patient had whitening done and once she was happy with the colour of her teeth, we were able to replace the composite bonding of her 2 front teeth to improve the “look” and shape of her teeth, giving her a more balance smile.
We recently helped a patient sent by their orthodontist to transform their canines to look like lateral incisors after braces. With a whitening treatment and two porcelain veneers, we created a bright, natural-looking smile.
This patient attended our practice with some aesthetic concerns with her front teeth.
We first focused on aligning her teeth with clear aligners to correct the bite and improve the positioning. We then continued with teeth whitening to brighten her upper smile and made her four new porcelain veneers.
The patient came in for our Align. Bleach. Bond. experience.
Firstly, we align the teeth with Invisalign. During this process, we bleach the teeth to brighten them. Once everything has been lined up, we bond composite or ceramic material to the teeth to return them to their full size. This case included six composite veneers.
This patient wanted a straighter, more even smile. There was also one lower tooth that was almost completely sitting behind the surrounding teeth, and we wanted this to be moved forward.
We started with aligning the teeth with Invisalign to achieve this look. The patient then completed at-home teeth bleaching with his Invisalign and finished up with composite bonding to give a whole new smile.
This patient began their smile makeover journey with teeth whitening to brighten their smile. After this, we replaced two older crowns on the front teeth with custom-made crowns designed to match the brighter colour of the teeth. The result is a natural and refreshed smile that the patient is thrilled with.
This smile makeover focused on the finishing touches post-orthodontic treatment. This included home whitening using custom retainers, replacing a missing tooth on the right-hand side with a natural-looking ceramic bonded bridge, and enhancing the size and shape of a smaller tooth on the left-hand side using a carefully sculpted composite veneer. The result is a balanced, brighter, and more confident smile
This patient came to us with a few teeth missing, and the remaining teeth weren't able to be restored. In this case, treatment included a full arch dental implant - leaving the patient with a brand new smile!
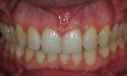
This patient lost their front tooth due to a sporting accident, and wanted to restore their smile. A single anterior dental implant was placed as treatment, and they were thrilled with the end result.
This patient was a long-term case. Firstly, they had aligner treatment to straighten their teeth, followed by dental implants to replace missing teeth. Finally, their teeth were polished off with composite and edge-bonding to restore any uneven features. An even and natural smile was created over 3 years and the patient was thrilled.
With this patient, we started by removing the failing teeth, then treated the underlying disease to avoid this issue again in the future. We then replaced the teeth with a premium denture to fully restore the smile.
This patient came to us with severe damage to their teeth, wanting a new smile. We did a full reconstruction of the mouth using ceramic crowns, composite veneers and a denture to support the function of the back teeth.
The result? The patient was thrilled with her brand new look.
This patient was a full mouth rehabilitation case. All old crowns and fillings were removed and replaced, with height then added to all teeth to give the patient back his full smile.
This was carefully and digitally planned with facial aesthetics in mind, with some great results.
This patient had a process we call Align. Bleach. Bond.
Firstly, we align the teeth with Invisalign. While you are straightening teeth you bleach them in the aligners.
Once everything is lined up correctly, we bond composite or ceramic to the teeth to return them to full size and enhance the smile. This case was completed with six composite veneers.
This is an example of how much of an impact in-chair whitening can make. This patient attended because they wanted whiter teeth before their holiday.
They had their gums treated and then a single session of in-chair whitening with four rounds of office whitening gel with light application. They watched a movie while this was being done and didn’t feel any pain or sensitivity throughout the appointment.
As part of our in-chair whitening package, we provide custom guards for continued whitening and touch-ups after your initial in-chair session.
If you would like to see what whitening can do for you then you are ...
This patient was frustrated with the appearance of her stained and worn teeth, which had dulled her smile over time. In order to restore a brighter smile, she opted for 8 porcelain veneers.
These custom-crafted veneers masked the discolouration and enhanced the symmetry of her teeth, giving her a more confident smile. Porcelain veneers are a natural-looking option for anyone looking to improve the appearance of stained or worn teeth.
This patient was born without their upper lateral incisors, causing the canine teeth to shift forward. To improve the appearance of their smile, we started with at-home whitening and followed up with fillings and composite veneers on the canine teeth to give them a more cohesive smile.
This was digitally planned out and then completed with the highest quality restorative materials, providing a long-lasting and natural-looking result.
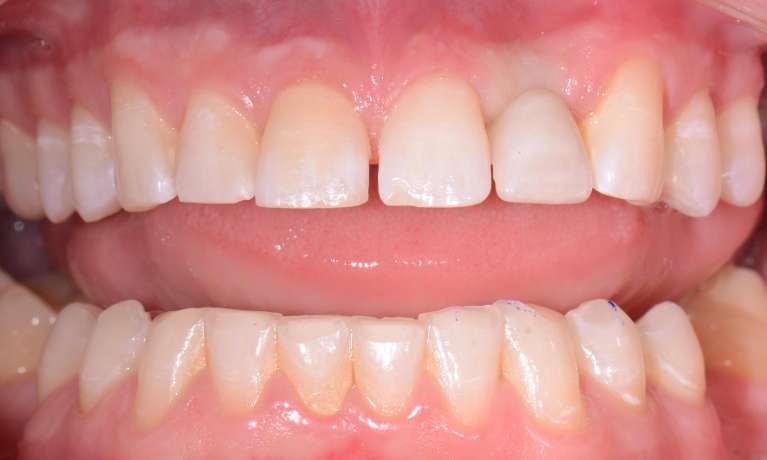
This patient came to us for a dental check-up, concerned about her existing veneers, which had become loose and were failing after years of service.
Firstly, we focused on the health and foundation of her teeth, leading to a health check on the back teeth, gums, and completing a root filling. After her oral health was cared for, we looked to replace the existing work. We extended the smile with upper and lower ceramic veneers and crowns.
The result? The patient was over the moon with her transformation and loves her beautiful smile.
This patient lost his front tooth (lateral incisor) due to a traumatic accident. He had an implant placed and while the bone was hardening around the implant he did some tooth whitening.
The implant was restored with a custom implant crown to complete his smile makeover.
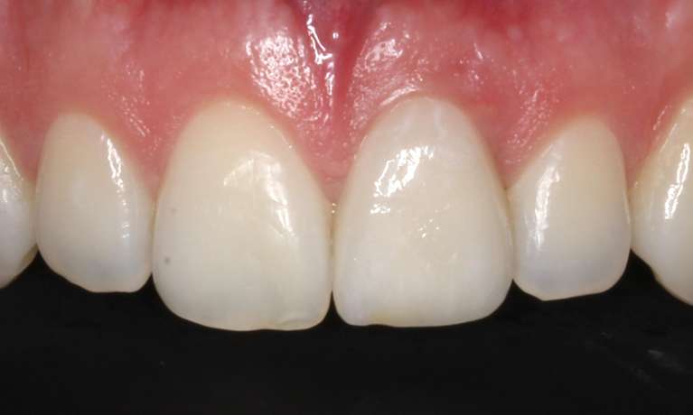
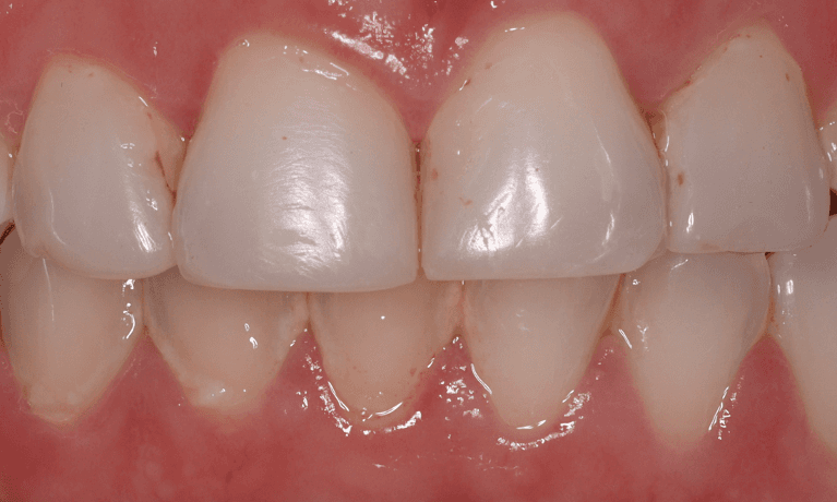
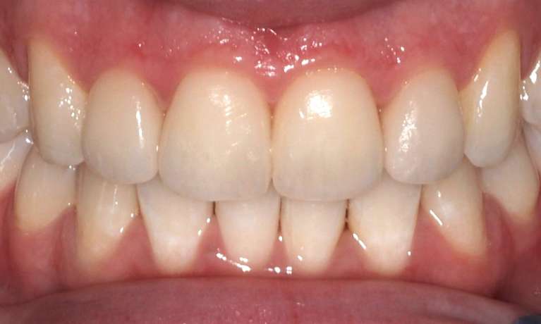
This patient did whitening and then had her composite veneer replaced. This was done with 3 different layers of composite resin (filling) material to give a life-like appearance.
This patients main concern was the dark front tooth. We were able to whiten all of their teeth over a 4 week period and target the dark tooth only, with the same whitening gel over a 3 month period. Great result, achieved very conservatively, without cutting away any tooth structure!
This patient came to us wanting a brighter smile and to explore options for replacing the discoloured teeth. In this case, we started with at-home teeth whitening, then replaced the existing stained composite resin veneers on the lateral incisors with new porcelain veneers.
This patient was getting married soon and wanted to improve her smile for her wedding. we were able to deliver a great result by using th align + bleach + bond technique.
Clear aliners were used to straighten her teeth, in conjuction with home whitening and composite edge bonding to improve the shape of her teeth.
4x crowns on front teeth and 2x composite veneers on canine teeth, all digitally planned out and then carried out over two appointments!
Free hand composite veneers on the 6 anterior teeth to freshen up a smile! The teeth shape, symmetry and colour were improved in this case.
This patient wanted a straighter smile. Clear aligners were used over a period of 10 months to align their teeth, followed by whitening and 4 porcelain veneers to improve the shape and size of the anterior teeth.
Patient went through a treatment with Invisalign ® clear aligners over a 12 month period. We aimed to give them a balanced, even smile with straighter teeth.
Patient presented needing filling on their back tooth. During the treatment process, rubber dam was used for accuracy and bite checked to ensure optimal functionality for the patinet.
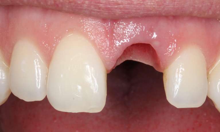
This patient attended with a front tooth that had a broken root and infection present. We removed the tooth and root and prepared the surrounding teeth for a bridge so they didn’t have to go without a tooth for any time.
We then allowed the gum to heal and then finalised our preparations and had the upper teeth crowns and bridge custom made.
This patient attended with worn and teeth that displayed translucency which looks like ‘grey’ showing through the teeth. We reviewed the health of teeth and gums then followed a whitening protocol finishing with 8 composite resin veneers that were digitally planned with the face and lips driving the overall shape.