SmilesHQ

Our Warners Bay dental clinic will be closed from 23 Dec through 4 Jan. We will be back to seeing patients on 5 Jan 2026.
Happy Holidays from the SmilesHQ dental family. To book, please call us at 02 4062 0705 or schedule here.

Full Mouth Rehabilitation
Reimagine Your Smile

SmilesHQ offers full mouth rehabilitation with the aim of creating a new smile and restoring your dental health and function.

man smiling | dentist in warners bay
Every Smile Tells a Story. What Does Yours Say?
Book Online

Full Mouth Rehabilitation in Warners Bay

Drs Calvin and Garritano discussing a treatmentFull mouth rehabilitation is the process of comprehensively repairing a patient’s smile to improve health, function and aesthetics. Dr Amy Calvin and Dr Nathalia Garritano offer full mouth rehabilitation at our dental practice in Warners Bay. 

Drs Calvin and Garritano studied for two years to achieve their post-graduate qualification with the Australasian Collage of Dental Practitioners. During that time, they worked closely with the leading dental specialists in Australia.

The treatment process typically involves multiple procedures that reduce infection and decay, rebuild dentition and enhance the appearance of the teeth and gums. Our team of professionals are passionate about delivering top-quality care, and our approach to full mouth rehabilitation is entirely customised. 

 

Meet Our Dentists:

Warners Bay dentist Dr Nathalia Garritano

Dr Nathalia Garritano BDentSc, PG Dip Clin Dent (ARD)

Principal Dentist / Owner

As a general and aesthetic dentist, Dr Nathalia Garritano is deeply committed to providing exceptional care to her patients, and she takes great pride in co-founding SmilesHQ with Dr Amy Calvin.

Growing up in a family of dentists, ...

warners bay dentist Dr Amy Calvin , BClinSc., BDentSc, PG Dip Clin Dent (ARD)

Dr Amy Calvin BClinSc., BDentSc, PG Dip Clin Dent (ARD)
Principal Dentist / Owner

Dr Amy Calvin is a general and aesthetic dentist. She is business owner with partner Dr Nathalia Garritano and general team motivator / hype-girl!

When Amy was younger, she was terrified of the dentist. In fact, ...

Personalised for Your Unique Smile

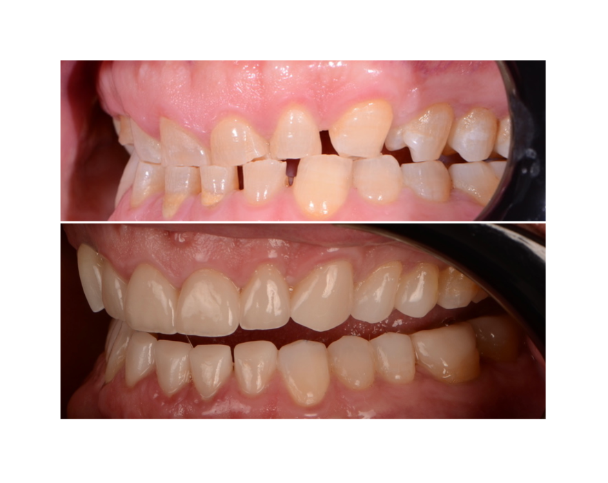
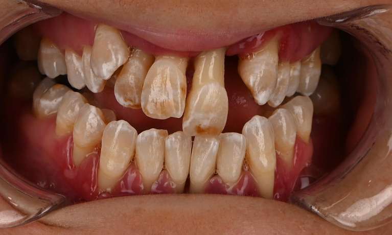
full mouth rehabilitation before and after in warners bayFull mouth rehabilitation can restore and improve the function and wellness of your teeth, gums and overall smile. Ideal candidates for full mouth rehabilitation are those who have several dental concerns that require significant repair or replacement. 

Common concerns include: 

  • Multiple missing teeth 
  • Severely decayed teeth 
  • Severely damaged teeth like cracks, chips and wear
  • Old or failing dental restorations like crowns or fillings
  • Advanced gum disease
  • Deep discolouration or staining 
  • Jaw and bite misalignment and discomfort 

At SmilesHQ, we design your treatment plan to address your specific oral health needs and goals. As a result, the precise treatments involved in full-mouth rehabilitation vary on a case-by-case basis. 

Featured Blog Posts - Full Mouth Rehabilitation

June 27, 2023

Full Mouth Rehabilitation at SmilesHQ

warners bay woman smiling

When you go to the dentist, you may feel anxious about what they will say; it’s perfectly natural to be nervous about the unknown. Many people avoid the dentist because they worry they will be judged about their oral health or hygiene. Maybe you feel ashamed because you haven’t visited the dentist for fifteen years, and you are afraid that you will need a great deal of dental work.

Perhaps you want to improve your dental health, but you don’t know what dental services you need. If any of this sounds ...

June 19, 2023

How do we Restore Neglected Smiles?

Woman appreciating new smile | Warners Bay Dentist
At SmilesHQ both our dentists Dr Nathalia Garritano and Dr Amy Calvin have done extensive post-graduate study to be able to take on the most complex of cases. They were trained by the best and brightest specialists in Australia during a two-year program that put them at the forefront of providing the best care.
 

Understanding and Addressing Individual Dental Concerns at SmilesHQ

SmilesHQ understands many patients may have neglected their oral health – each individual has their own reasons. We often see people with dental anxiety, past bad experiences or people who ...

Designing Your New Smile

DSmileshq dentist doing digital work for smile rehabilitationuring your initial consultation, one of our dentists will perform a thorough oral health evaluation and discuss your goals and concerns. Next, they develop a strategy to restore your smile’s health, aesthetics and function. With the help of technology, you can even try out your new smile before treatment begins.

Common treatments involved in full mouth rehabilitation include: 

  • Dental implants 
  • Implant-supported dentures 
  • Traditional dentures 
  • Dental crowns
  • Dental bridges 
  • Root canal therapy 
  • Tooth extractions
  • Periodontal (gum) therapy 
  • Tooth-coloured fillings 
  • Veneers

At SmilesHQ, we use technologies and methods of care to promote results. Since full mouth rehabilitation involves various procedures, completing them may take some time. However, we will work with you to formulate a treatment plan that addresses your concerns and fits within your desired timeline and budget. 

Full Smile Rehabilitation in Warners Bay

Drs Calvin and Garritano are focused on ensuring you enjoy better oral health and a more comfortable smile. Our Warners Bay dentists want to help you enjoy smiling again while strengthening and fortifying your teeth, gums and oral structures. 

The SmilesHQ team provides comprehensive and compassionate dentistry for the entire family and welcomes patients from Warners Bay and the surrounding areas. 

Are you ready to renew your smile? We invite you to contact SmilesHQ to book your consultation. 

Treatment outcomes vary between individuals. Your dentist will discuss what results are realistic for your circumstances.

We Want to Help You Achieve Your Smile Goals
Book Online
Any surgical or invasive procedure carries risks. Before proceeding, you should seek a second opinion from an appropriately qualified health practitioner.
Privacy Policy