SmilesHQ
Dental Implants
A Popular Solution to Tooth Loss

Do you want a natural-looking smile and the ability to eat whatever you want without discomfort or pain? Dental implants may be your solution!

smiling couple with dental implants in warners bay
Dental Implants Help Create Smiles
Book Online

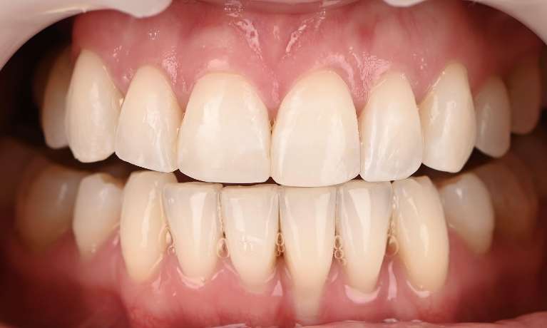
Dental Implants in Warners Bay

a dental implant made in warners bayIf you have a missing tooth, we know this can impact your quality of life. SmilesHQ uses the latest dental implant techniques to provide modern dental implants in Warners Bay. Our friendly and dedicated team is dedicated to restoring your smile. 

Frequently Asked Questions

Our dentists offer various tooth replacement options, such as dentures, partials and dental implants. Untreated tooth loss can affect how you eat, speak, smile and socialise. Fortunately, our modern and customised tooth replacements can restore oral health, function and appearance. 

What Is a Dental Implant?

A dental implant is a permanent tooth root replacement that consists of three parts: the screw-like titanium post, the abutment and the prosthesis. Essentially, a dental implant replaces the entire tooth structure, from the root beneath the gumline to the visible portion of the tooth. 

The implant post is surgically placed in the jaw to create a secure and stable foundation for the artificial tooth or teeth. The implant post is biocompatible, meaning it safely and naturally integrates with your jawbone to become a part of your mouth’s anatomy. 

The abutment is a connector piece that adjoins the prosthesis to the implant post, ensuring it stays in place. The artificial tooth or teeth can be a single dental crown replacing one tooth or a denture or bridge replacing all or multiple teeth. 

Dental implants simulate the look, feel and function of natural teeth, which is why they’re considered the gold standard of tooth replacement. 

We Welcome Your Call to Our Warners Bay Clinic

If you have one or more missing teeth and want to complete your smile, we invite you to book a consultation at our Warners Bay dental clinic. 

When you have a gap in your smile, it can be embarrassing and make eating and speaking difficult. Fortunately, SmilesHQ offers tooth replacement options such as dental implants, bridges, traditional dentures and implant-supported dentures.

Tooth Replacement Options for Your Smile

We don’t want a missing tooth to affect your daily life, so we offer numerous ways to restore your smile:

  • Dental bridges — If you have healthy teeth on both sides, we can attach prosthetic teeth to them and “bridge the gap” in your smile.
  • Dental implants — Considered the gold standard in tooth replacement, dental implants mimic your missing tooth’s roots. A dental crown, bridge or denture completes the process.
  • Dentures — For a more affordable option, traditional dentures are removable and easy to care for. We can replace a full upper arch, lower arch or both.
  • Implant-supported dentures — Surgically placed dental implants are used to secure a full or partial denture, giving you the strength and stability to bite down and chew with ease.

Need a Dentist in Warners Bay, NSW?

If so, the experienced team at SmilesHQ will happily assist you! We can explain your options and customise a treatment plan suited to your needs and budget.

Feel free to call us on (02) 4062 0705 to arrange a visit.

What Is a Dental Implant?

A dental implant replaces a missing tooth, from root to crown. Dental implants can replace a single tooth or several missing teeth, even the entire upper or lower arch. A dental implant has three parts: a screw-like post, an abutment and a prosthesis. 

The screw-like post is surgically placed into the jawbone, and then we connect the abutment and prosthesis to complete your smile. A prosthesis can be a dental crown, bridge or denture

Meet Our Dentists:

Warners Bay dentist Dr Nathalia Garritano

Dr Nathalia Garritano BDentSc, PG Dip Clin Dent (ARD)

Principal Dentist / Owner

As a general and aesthetic dentist, Dr Nathalia Garritano is deeply committed to providing exceptional care to her patients, and she takes great pride in co-founding SmilesHQ with Dr Amy Calvin.

Growing up ...

warners bay dentist Dr Amy Calvin , BClinSc., BDentSc, PG Dip Clin Dent (ARD)

Dr Amy Calvin BClinSc., BDentSc, PG Dip Clin Dent (ARD)
Principal Dentist / Owner

Dr Amy Calvin is a general and aesthetic dentist. She is business owner with partner Dr Nathalia Garritano and general team motivator / hype-girl!

When Amy was younger, she was terrified ...

The Dental Implant Process

If you're a good candidate for dental implants, we evaluate your smile, take impressions for precise implant placement and ensure you understand the procedure. We then surgically place the screw-like implant post into the jawbone. Over time, the jawbone fuses with the implant post through a process called osseointegration. This stabilises the implant and promotes longevity. Once the jawbone and gums heal, we place the abutment and prosthesis, completing your new smile. 

Treatment timelines depend on patient suitability and clinical needs. Your dentist will confirm your expected treatment timeframe.

Featured Blog Posts - Dental Implants

June 23, 2025

Smile Design with Dental Implants: What Newcastle Patients Should Know

older man and woman hugging on the beach

Ready to transform gaps and worn teeth into a confident grin that looks and feels brand-new? Smile design pairs leading-edge planning tools with dental implants to create a bespoke smile makeover that’s equal parts art and science. Here’s how SmilesHQ helps patients from Newcastle to Warners Bay unlock their best smiles.

What Is Smile Design and How Does It Work?

Digital smile design begins with high-resolution photographs, intraoral scans, and 3-D cone-beam imaging. We map your facial proportions, gumline and bite forces to build a virtual model of your future smile. ...

February 19, 2024

What Makes a Good Candidate for Dental Implants?

dental implant

When you’re missing one or more of your teeth, you realise how it affects your daily life. You feel self-conscious about smiling in public and have to stick to softer foods because you can’t chew like you once could. Unfortunately, there are also oral health concerns associated with gaps in your smile, including bone loss, shifting teeth and increased risk of tooth decay and gum disease.

So, if you’re considering your tooth replacement options, what makes you a good candidate for dental implants?

Dental Implants: The Gold Standard of Tooth Replacement

Although ...

Benefits of Dental Implants

diagram of dental implants in warners bayDental implants are considered the gold standard of tooth replacement because they're most like natural teeth in function, stability and appearance. Patients and dentists alike appreciate the advantages of dental implants compared to removable prostheses like dentures and partials. 

Dental implants provide numerous benefits: 

  • Unlike conventional dentures and partials, dental implants don't shift or move in the mouth. Plus, they don't require adhesives or suction to stay in place. 
  • Dental implants support your facial muscles, prevent facial sagging and may lend to a more youthful appearance. 
  • Dental implants promote jawbone health and prevent bone resorption. 
  • Dental implants are customised to fit your mouth's unique contours. 
  • Dental implants can sometimes last a lifetime and prevent remaining teeth from shifting out of place. 
  • Dental implants are low-maintenance as they don't require adhesives or special care. You can brush, floss and get routine exams and cleans as usual. 

Dental Implants Can Give You Your Smile Back!

We invite you to contact our practice to learn more about dental implants or book a consultation. 

Book Your Dental Implant Consultation with Us
Book Online
Disclaimer: All surgical or invasive procedures carry risks. Before proceeding, you should seek a second opinion from an appropriately qualified health practitioner. The information throughout this site is not intended to be taken as medical advice.
Any surgical or invasive procedure carries risks. Before proceeding, you should seek a second opinion from an appropriately qualified health practitioner.