Crowns & Bridges in Warners Bay
Tooth loss can compromise your ability to chew food, pronounce words, smile and laugh with confidence and ease. When you have one or more missing teeth, your oral health may also be at risk for gum disease or tooth decay. SmilesHQ provides custom-made ceramic crowns and bridges to restore teeth and complete your smile.
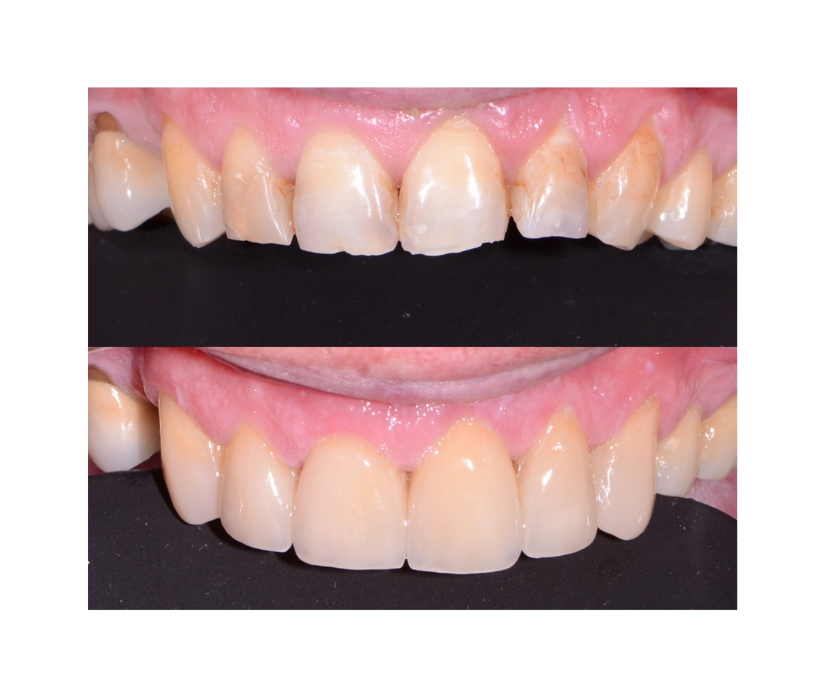
Revive Your Smile with Dental Crowns
Crowns are durable, tooth-shaped caps that fit over a natural tooth to provide additional support, strength and protection. Drs Calvin and Garritano use ceramic crowns to restore decayed or damaged teeth, protect a tooth that’s received a root canal, reinforce a dental implant or secure a dental bridge.
Our dentists design each crown to fit your unique smile and look as natural as possible. Ceramic crowns are durable and long-lasting, and we help patients choose properly shaded crowns for a seamless smile. We also consider your facial features, bone structure, skin tone, eye colour and hair colour to ensure your restored smile is harmonious and complements your appearance.
A dental bridge replaces one or more missing teeth, completing a person’s smile and restoring their bite. Using crowns on abutment teeth to hold the bridge in place, the prosthetic tooth––called a pontic––sits in the space left behind by a missing tooth.
There are numerous benefits of crowns and bridges: