Composite Resin Veneers

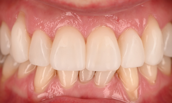
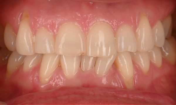
This patient attended with worn and teeth that displayed translucency which looks like ‘grey’ showing through the teeth. We reviewed the health of teeth and gums then followed a whitening protocol finishing with 8 composite resin veneers that were digitally planned with the face and lips driving the overall shape.

Related Services:

Cosmetic Dentistry
Can a Trip to the Dentist Be Fun? Try Us!