Crowns and Bridge

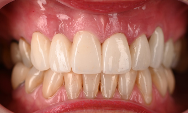
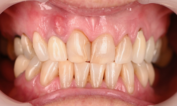
This patient attended with a front tooth that had a broken root and infection present. We removed the tooth and root and prepared the surrounding teeth for a bridge so they didn’t have to go without a tooth for any time.

We then allowed the gum to heal and then finalised our preparations and had the upper teeth crowns and bridge custom made.

Related Services:

Crowns and Bridges
Improve your smile today – call to schedule a consultation!