SmilesHQ

Full Mouth Rehabilitation

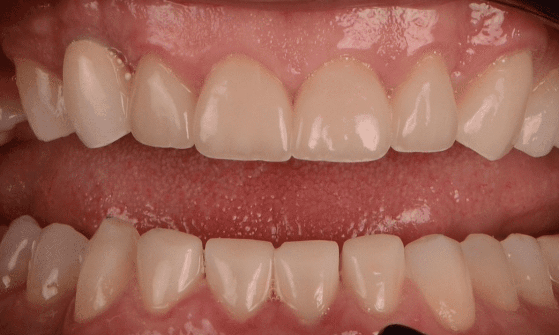
This patient presented with an incredibly worn dentition on all of his front teeth which were also very small and gappy. Through thorough clinical and digital planning we completely overhauled this patient teeth and smile – his self-confidence increased beyond our expectations.
 
A combination of ceramic veneers, crowns and a dental implant was used to alter his bite and increase the size of the teeth. A soft tissue laser was used to reduce the gum around the top teeth tooth, this can allow for larger size veneers and better tooth shapes.
Book with Us and Get Ready for a Whole New Experience!
Disclaimer: All surgical or invasive procedures carry risks. Before proceeding, you should seek a second opinion from an appropriately qualified health practitioner. The information throughout this site is not intended to be taken as medical advice.
Any surgical or invasive procedure carries risks. Before proceeding, you should seek a second opinion from an appropriately qualified health practitioner.