SmilesHQ

Full Smile Rehabilitation

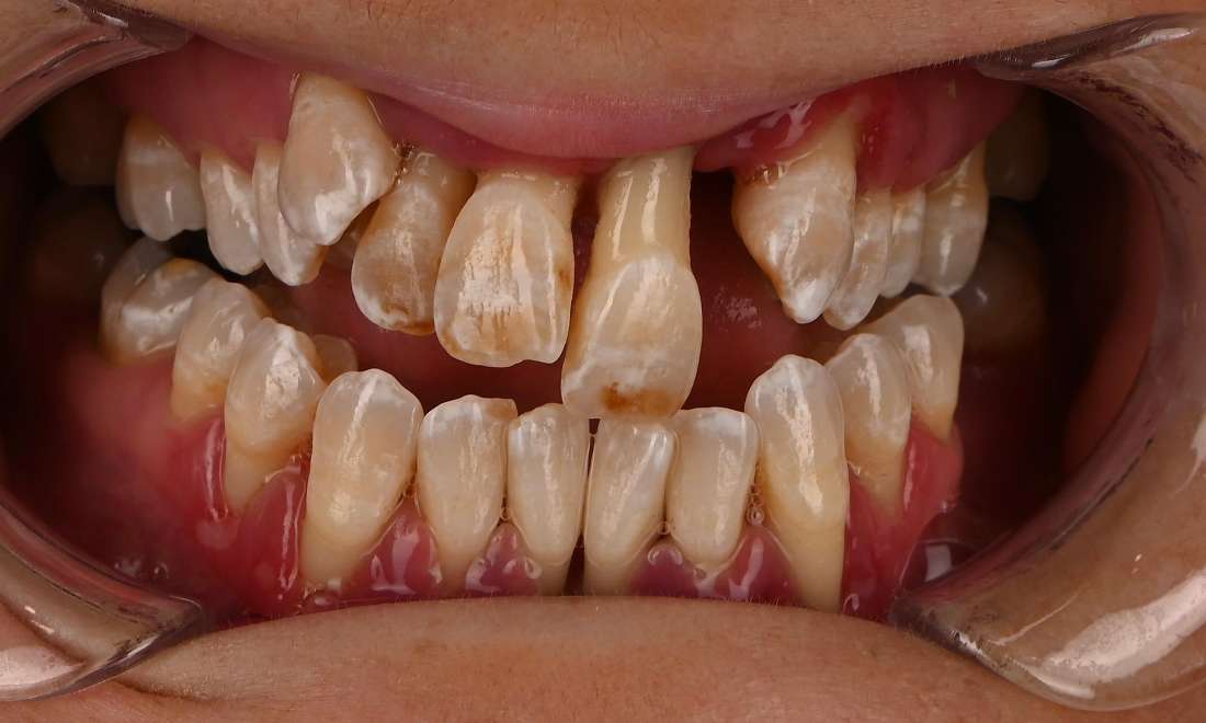
With this patient, we started by removing the failing teeth, then treated the underlying disease to avoid this issue again in the future. We then replaced the teeth with a premium denture to fully restore the smile.

Book with Us and Get Ready for a Whole New Experience!
Disclaimer: All surgical or invasive procedures carry risks. Before proceeding, you should seek a second opinion from an appropriately qualified health practitioner. The information throughout this site is not intended to be taken as medical advice.
Any surgical or invasive procedure carries risks. Before proceeding, you should seek a second opinion from an appropriately qualified health practitioner.