SmilesHQ

Single Anterior Dental Implant

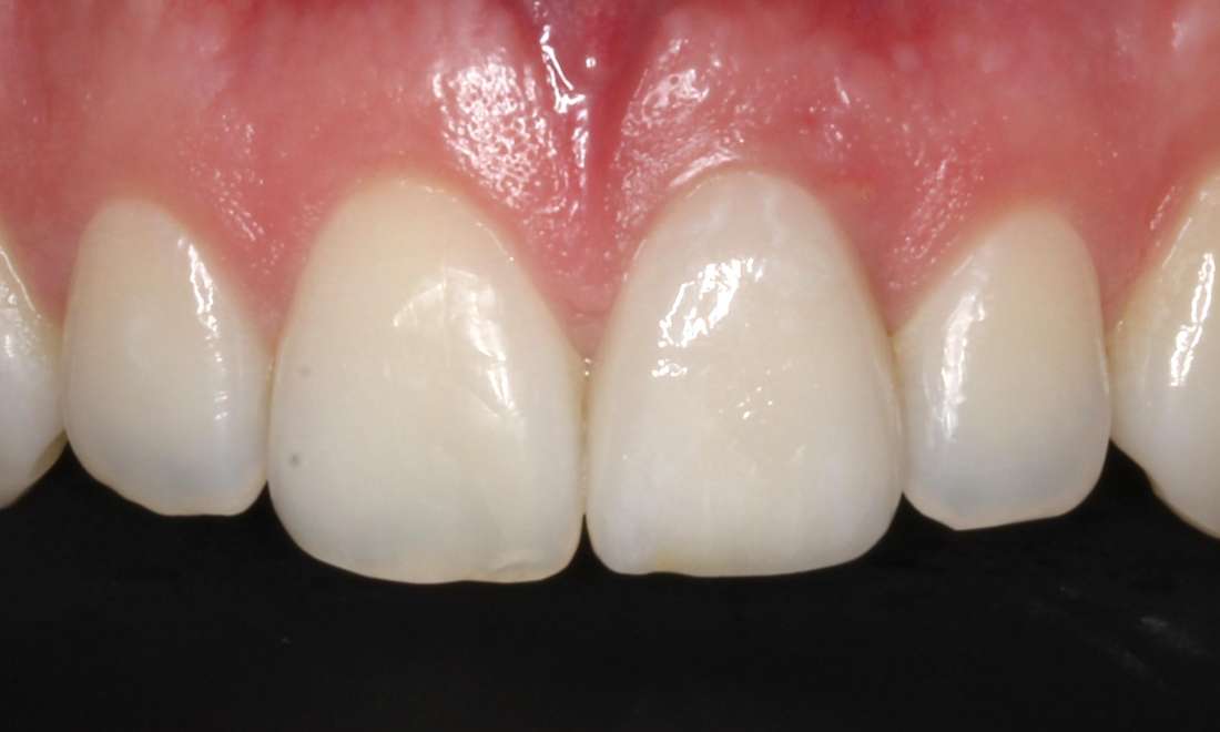
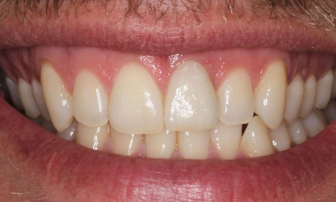
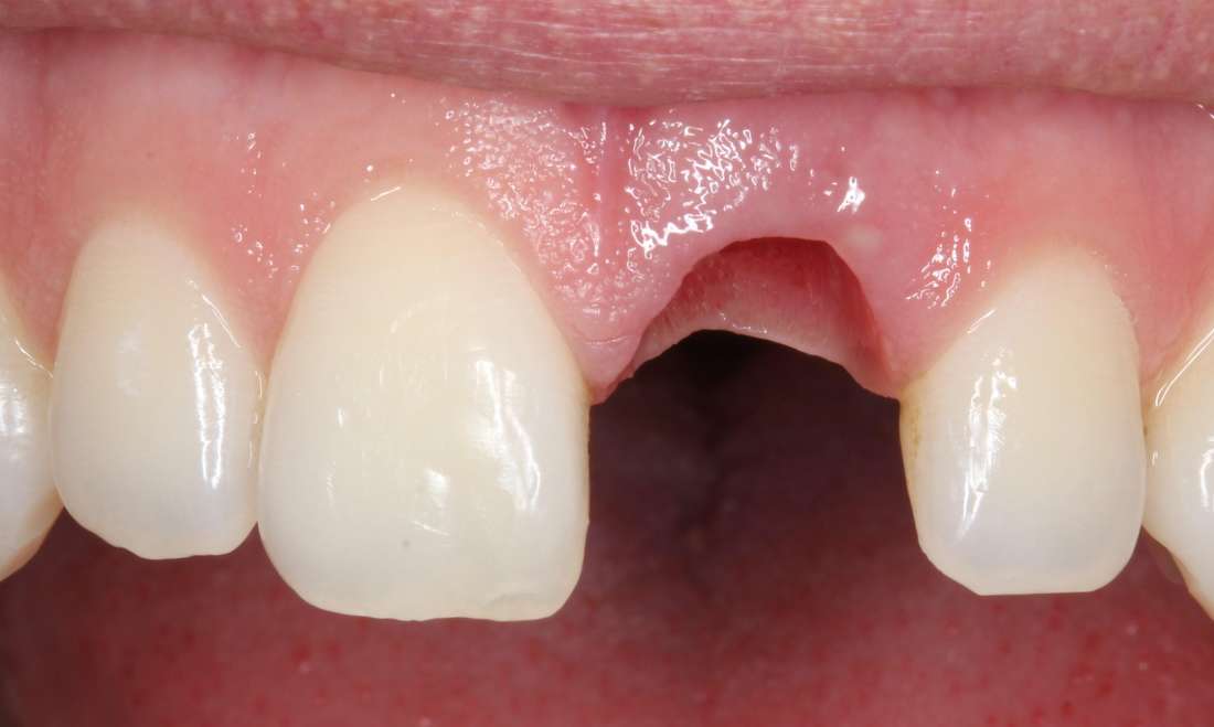
This patient lost their front tooth due to a sporting accident, and wanted to restore their smile. A single anterior dental implant was placed as treatment, and they were thrilled with the end result. 

Related Services:

Dental Implants
Smile Makeovers
Your Smile Is Our Passion
Disclaimer: All surgical or invasive procedures carry risks. Before proceeding, you should seek a second opinion from an appropriately qualified health practitioner. The information throughout this site is not intended to be taken as medical advice.
Any surgical or invasive procedure carries risks. Before proceeding, you should seek a second opinion from an appropriately qualified health practitioner.