SmilesHQ

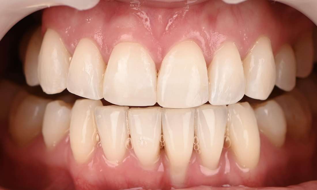
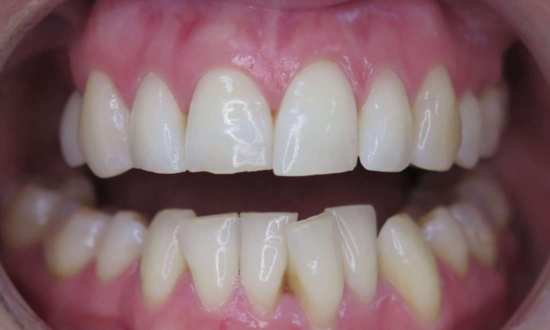
Smile Makeover with Dental Implants

This patient was a long-term case. Firstly, they had aligner treatment to straighten their teeth, followed by dental implants to replace missing teeth. Finally, their teeth were polished off with composite and edge-bonding to restore any uneven features. An even and natural smile was created over 3 years and the patient was thrilled. 

Related Services:

Dental Implants
Smile Makeovers
Can a Trip to the Dentist Be Fun? Try Us!
Disclaimer: All surgical or invasive procedures carry risks. Before proceeding, you should seek a second opinion from an appropriately qualified health practitioner. The information throughout this site is not intended to be taken as medical advice.
Any surgical or invasive procedure carries risks. Before proceeding, you should seek a second opinion from an appropriately qualified health practitioner.