SmilesHQ

Single Composite Veneer

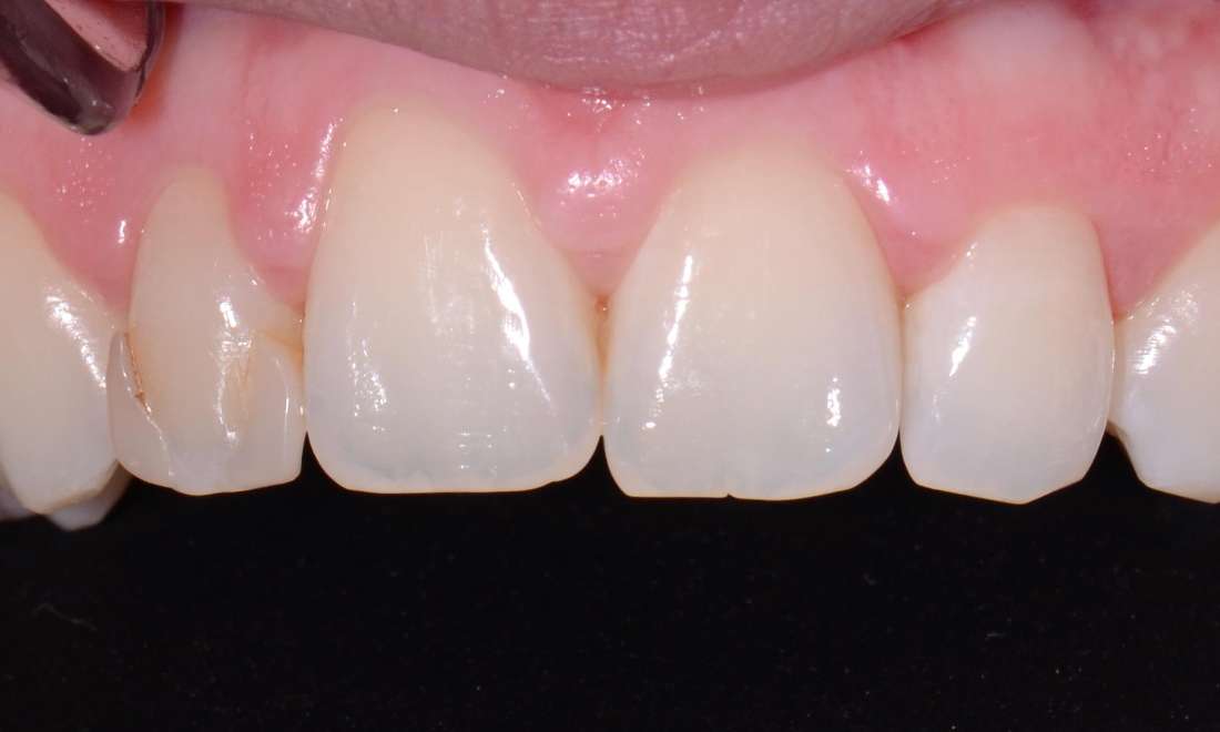
This patient did whitening and then had her composite veneer replaced. This was done with 3 different layers of composite resin (filling) material to give a life-like appearance.

Related Services:

Teeth Whitening
Veneers
Improve your smile today – call to schedule a consultation!
Disclaimer: All surgical or invasive procedures carry risks. Before proceeding, you should seek a second opinion from an appropriately qualified health practitioner. The information throughout this site is not intended to be taken as medical advice.
Any surgical or invasive procedure carries risks. Before proceeding, you should seek a second opinion from an appropriately qualified health practitioner.