SmilesHQ

Invisalign

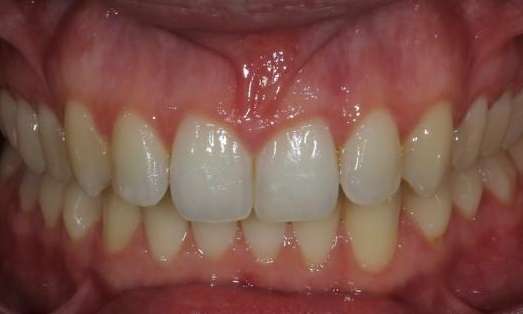
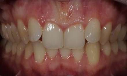
Patient went through a treatment with Invisalign ® clear aligners over a 12 month period. We aimed to give them a balanced, even smile with straighter teeth. 

Related Services:

Invisalign®
Can a Trip to the Dentist Be Fun? Try Us!
Disclaimer: All surgical or invasive procedures carry risks. Before proceeding, you should seek a second opinion from an appropriately qualified health practitioner. The information throughout this site is not intended to be taken as medical advice.
Any surgical or invasive procedure carries risks. Before proceeding, you should seek a second opinion from an appropriately qualified health practitioner.