Smile Gallery: Teeth Whitening
Our expertise and experience allow us to create natural-looking, attractive smiles that can truly transform your life. Drs Amy and Nathalia always strive to go above and beyond expectations, so you have a smile you cherish and are excited to share with the world.
We invite you to browse through our Smile Gallery to see real patients with real results.


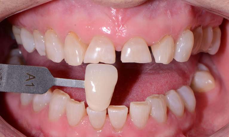
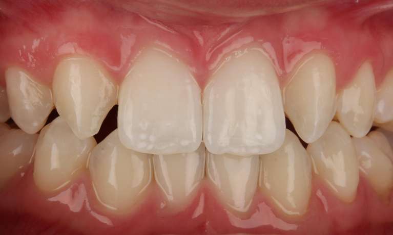
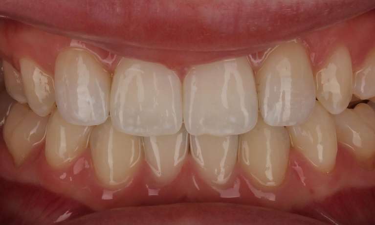
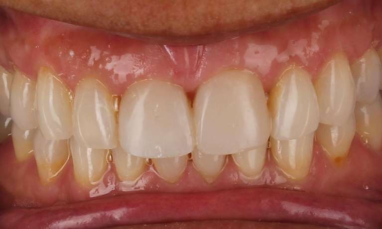
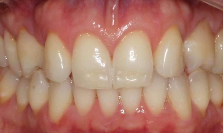
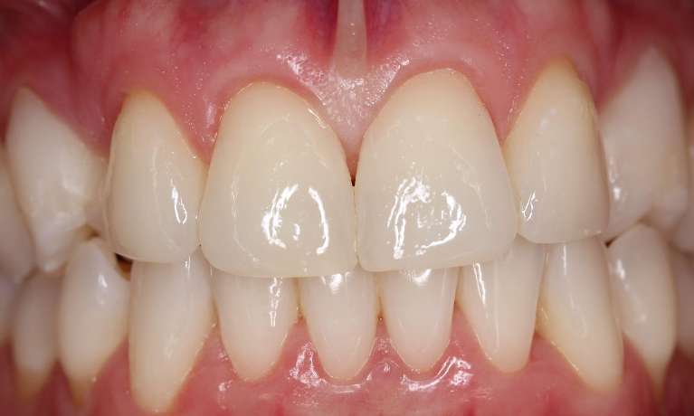
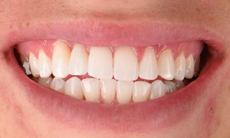
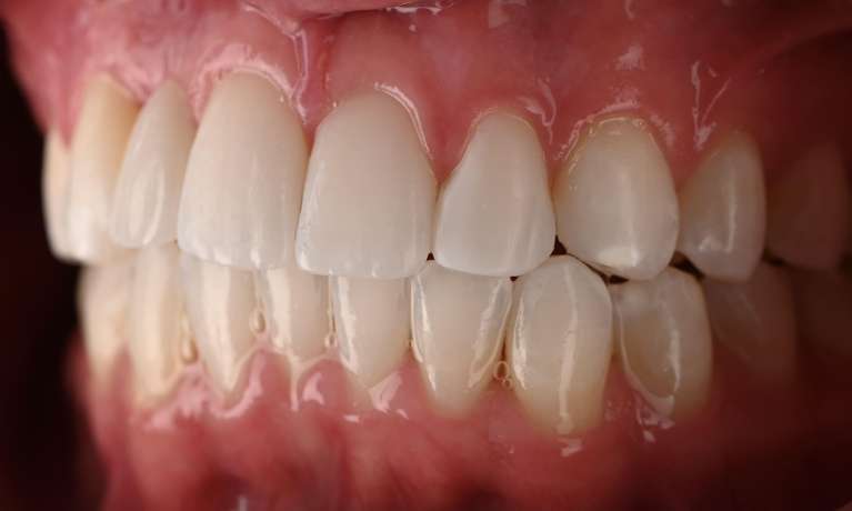
This is an example of how much of an impact in-chair whitening can make. This patient attended because they wanted whiter teeth before their holiday.
They had their gums treated and then a single session of in-chair whitening with four rounds of office whitening gel with light application. They watched a movie while this was being done and didn’t feel any pain or sensitivity throughout the appointment.
As part of our in-chair whitening package, we provide custom guards for continued whitening and touch-ups after your initial in-chair session.
If you would like to see what whitening can do for you then you are ...


This patient wanted a straighter, more even smile. There was also one lower tooth that was almost completely sitting behind the surrounding teeth, and we wanted this to be moved forward.
We started with aligning the teeth with Invisalign to achieve this look. The patient then completed at-home teeth bleaching with his Invisalign and finished up with composite bonding to give a whole new smile.


The patient came in for our Align. Bleach. Bond. experience.
Firstly, we align the teeth with Invisalign. During this process, we bleach the teeth to brighten them. Once everything has been lined up, we bond composite or ceramic material to the teeth to return them to their full size. This case included six composite veneers.


This patient attended our practice with some aesthetic concerns with her front teeth.
We first focused on aligning her teeth with clear aligners to correct the bite and improve the positioning. We then continued with teeth whitening to brighten her upper smile and made her four new porcelain veneers.


We recently helped a patient sent by their orthodontist to transform their canines to look like lateral incisors after braces. With a whitening treatment and two porcelain veneers, we created a bright, natural-looking smile.


This patient had whitening done and once she was happy with the colour of her teeth, we were able to replace the composite bonding of her 2 front teeth to improve the “look” and shape of her teeth, giving her a more balance smile.


This patient was not happy with the shape of her teeth as well as the wear on her 2 front teeth.
They didn’t want complex treatment, we were able to achieve her desired outcome by doing in-chair whitening to improve the colour of her teeth and composite bonding on the 4 front teeth to improve the shape of the teeth.




This patient had recently completed orthodontic treatment and was looking to perfect their smile with a few finishing touches. The goals were to brighten the overall smile, replace a missing tooth on the right-hand side, and enhance the symmetry on the left.
We started with home bleaching using custom retainers provided after orthodontic treatment. A missing tooth on the right was replaced with a ceramic-bonded bridge for a seamless look. On the left-hand side, we enhanced a naturally smaller tooth with a composite veneer to complete this beautiful, balanced smile.


This patient completed whitening to brighten her smile, and then opted for composite resin veneers to further enhance the appearance of her teeth.
The veneers were carefully crafted to perfect the size, shape, and symmetry of the front teeth, giving her a more uniform and radiant smile. This combination of teeth whitening and composite veneers provided a natural-looking, long-lasting transformation, all in just a few visits.


This patient was born without their upper lateral incisors, causing the canine teeth to shift forward. To improve the appearance of their smile, we started with at-home whitening and followed up with fillings and composite veneers on the canine teeth to give them a more cohesive smile.
This was digitally planned out and then completed with the highest quality restorative materials, providing a long-lasting and natural-looking result.


This patient did whitening and then had her composite veneer replaced. This was done with 3 different layers of composite resin (filling) material to give a life-like appearance.


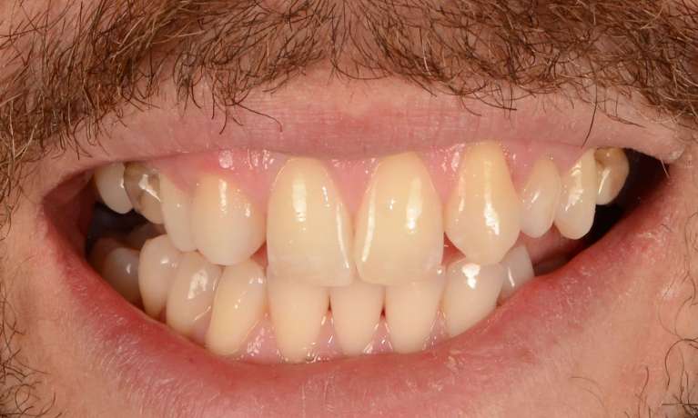
This patients main concern was the dark front tooth. We were able to whiten all of their teeth over a 4 week period and target the dark tooth only, with the same whitening gel over a 3 month period. Great result, achieved very conservatively, without cutting away any tooth structure!


This patient came to us wanting a brighter smile and to explore options for replacing the discoloured teeth. In this case, we started with at-home teeth whitening, then replaced the existing stained composite resin veneers on the lateral incisors with new porcelain veneers.