Smile Gallery: Veneers
Our expertise and experience allow us to create natural-looking, attractive smiles that can truly transform your life. Drs Amy and Nathalia always strive to go above and beyond expectations, so you have a smile you cherish and are excited to share with the world.
We invite you to browse through our Smile Gallery to see real patients with real results.


This patient had a process we call Align. Bleach. Bond.
Firstly, we align the teeth with Invisalign. While you are straightening teeth you bleach them in the aligners.
Once everything is lined up correctly, we bond composite or ceramic to the teeth to return them to full size and enhance the smile. This case was completed with six composite veneers.


This patient came to us with severe damage to their teeth, wanting a new smile. We did a full reconstruction of the mouth using ceramic crowns, composite veneers and a denture to support the function of the back teeth.
The result? The patient was thrilled with her brand new look.


The patient came in for our Align. Bleach. Bond. experience.
Firstly, we align the teeth with Invisalign. During this process, we bleach the teeth to brighten them. Once everything has been lined up, we bond composite or ceramic material to the teeth to return them to their full size. This case included six composite veneers.


This patient attended our practice with some aesthetic concerns with her front teeth.
We first focused on aligning her teeth with clear aligners to correct the bite and improve the positioning. We then continued with teeth whitening to brighten her upper smile and made her four new porcelain veneers.


We recently helped a patient sent by their orthodontist to transform their canines to look like lateral incisors after braces. With a whitening treatment and two porcelain veneers, we created a bright, natural-looking smile.


This patient had whitening done and once she was happy with the colour of her teeth, we were able to replace the composite bonding of her 2 front teeth to improve the “look” and shape of her teeth, giving her a more balance smile.




This patient had recently completed orthodontic treatment and was looking to perfect their smile with a few finishing touches. The goals were to brighten the overall smile, replace a missing tooth on the right-hand side, and enhance the symmetry on the left.
We started with home bleaching using custom retainers provided after orthodontic treatment. A missing tooth on the right was replaced with a ceramic-bonded bridge for a seamless look. On the left-hand side, we enhanced a naturally smaller tooth with a composite veneer to complete this beautiful, balanced smile.


This patient completed whitening to brighten her smile, and then opted for composite resin veneers to further enhance the appearance of her teeth.
The veneers were carefully crafted to perfect the size, shape, and symmetry of the front teeth, giving her a more uniform and radiant smile. This combination of teeth whitening and composite veneers provided a natural-looking, long-lasting transformation, all in just a few visits.


This patient was frustrated with the appearance of her stained and worn teeth, which had dulled her smile over time. In order to restore a brighter smile, she opted for 8 porcelain veneers.
These custom-crafted veneers masked the discolouration and enhanced the symmetry of her teeth, giving her a more confident smile. Porcelain veneers are a natural-looking option for anyone looking to improve the appearance of stained or worn teeth.


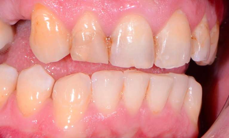
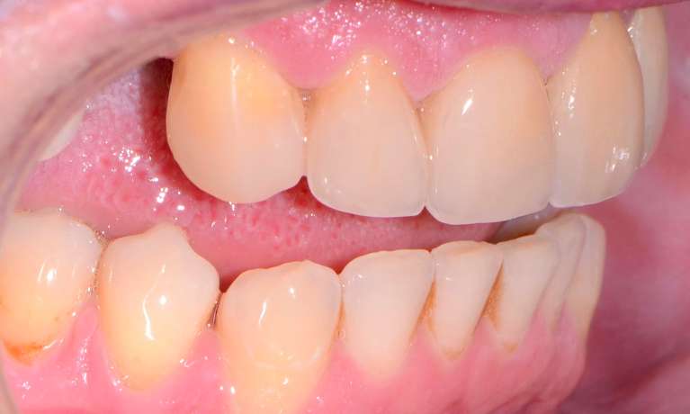
This patient came to us for a dental check-up, concerned about her existing veneers, which had become loose and were failing after years of service.
Firstly, we focused on the health and foundation of her teeth, leading to a health check on the back teeth, gums, and completing a root filling. After her oral health was cared for, we looked to replace the existing work. We extended the smile with upper and lower ceramic veneers and crowns.
The result? The patient was over the moon with her transformation and loves her beautiful smile.


This patient did whitening and then had her composite veneer replaced. This was done with 3 different layers of composite resin (filling) material to give a life-like appearance.


This patient came to us wanting a brighter smile and to explore options for replacing the discoloured teeth. In this case, we started with at-home teeth whitening, then replaced the existing stained composite resin veneers on the lateral incisors with new porcelain veneers.




4x crowns on front teeth and 2x composite veneers on canine teeth, all digitally planned out and then carried out over two appointments!