Smile Gallery: Cosmetic Dentistry
Our expertise and experience allow us to create natural-looking, attractive smiles that can truly transform your life. Drs Amy and Nathalia always strive to go above and beyond expectations, so you have a smile you cherish and are excited to share with the world.
We invite you to browse through our Smile Gallery to see real patients with real results.


This patient wanted a straighter, more even smile. There was also one lower tooth that was almost completely sitting behind the surrounding teeth, and we wanted this to be moved forward.
We started with aligning the teeth with Invisalign to achieve this look. The patient then completed at-home teeth bleaching with his Invisalign and finished up with composite bonding to give a whole new smile.




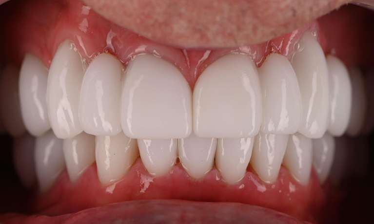
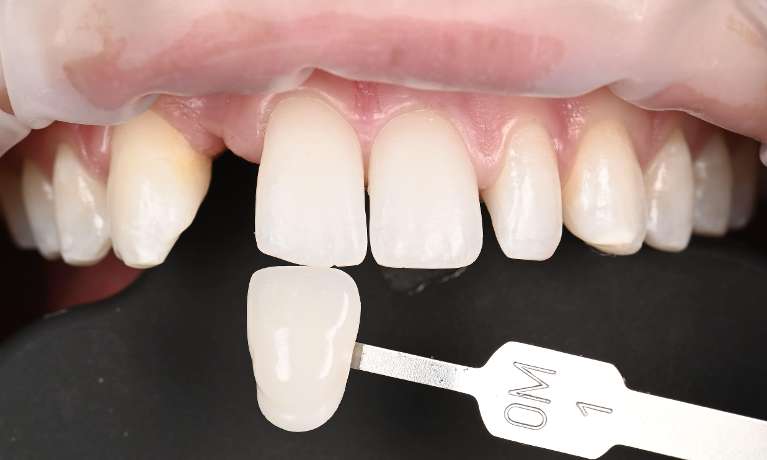
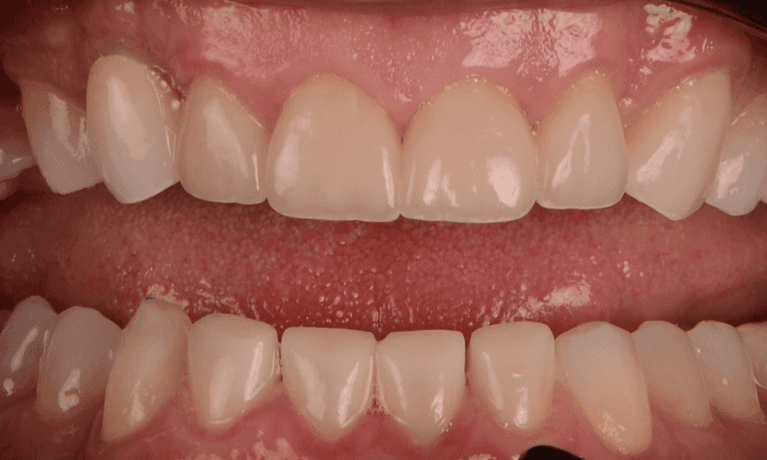
This patient was a full mouth rehabilitation case. All old crowns and fillings were removed and replaced, with height then added to all teeth to give the patient back his full smile.
This was carefully and digitally planned with facial aesthetics in mind, with some great results.


This smile makeover focused on the finishing touches post-orthodontic treatment. This included home whitening using custom retainers, replacing a missing tooth on the right-hand side with a natural-looking ceramic bonded bridge, and enhancing the size and shape of a smaller tooth on the left-hand side using a carefully sculpted composite veneer. The result is a balanced, brighter, and more confident smile


This patient had whitening done and once she was happy with the colour of her teeth, we were able to replace the composite bonding of her 2 front teeth to improve the “look” and shape of her teeth, giving her a more balance smile.


This patient was not happy with the shape of her teeth as well as the wear on her 2 front teeth.
They didn’t want complex treatment, we were able to achieve her desired outcome by doing in-chair whitening to improve the colour of her teeth and composite bonding on the 4 front teeth to improve the shape of the teeth.


This patient completed whitening to brighten her smile, and then opted for composite resin veneers to further enhance the appearance of her teeth.
The veneers were carefully crafted to perfect the size, shape, and symmetry of the front teeth, giving her a more uniform and radiant smile. This combination of teeth whitening and composite veneers provided a natural-looking, long-lasting transformation, all in just a few visits.


This patient was born without their upper lateral incisors, causing the canine teeth to shift forward. To improve the appearance of their smile, we started with at-home whitening and followed up with fillings and composite veneers on the canine teeth to give them a more cohesive smile.
This was digitally planned out and then completed with the highest quality restorative materials, providing a long-lasting and natural-looking result.




4x crowns on front teeth and 2x composite veneers on canine teeth, all digitally planned out and then carried out over two appointments!



